Уручская, 7 (ст. м. «Уручье», Минск)
Записаться Наш чат-бот

Наши работы

before
after
Условно-несъемная металлоакриловая конструкция на четырех имплантах на нижней челюсти.
Стоматолог-хирург-имплантолог
Крат Максим Игоревич
before
after
Условно-несъемная металлоакриловая конструкция на четырех имплантах на верхней челюсти
Стоматолог-хирург-имплантолог
Крат Максим Игоревич
before
after
Протезирование на имплантате Megagen Anyone коронкой из диоксида циркония
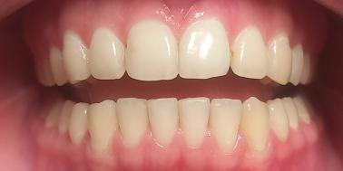
before
after
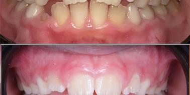
Лечение на частичной брекет-системе
before
after
Лечение на миофункциональном аппарате (каппа Ортотеин, производство США) в период смешанного прикуса
before
after
Лечение на самолигирующей брекет-системе
before
after
Комплексная реабилитация с помощью дентальных имплантатов и несъемных конструкций на своих зубах
Стоматолог-хирург-имплантолог
Скобников Сергей Владимирович
before
after
Комплексная реабилитация с помощью дентальных имплантатов и несъемных конструкций на своих зубах
Стоматолог-хирург-имплантолог
Скобников Сергей Владимирович

Отзывы

Елена Молчан

Хочу выразить искреннюю благодарность врачу-имплантологу Скобникову Сергею Владимировичу за его профессионализм и чуткое отношение к пациентам. С самого первого визита я почувствовал(а) себя в надежных руках. Сергей Владимирович не только подробно объяснил все этапы процедуры, но и ответил на все мои вопросы, что помогло мне преодолеть страх и сомнения. Процесс имплантации прошел безболезненно и комфортно, благодаря его высокому мастерству и вниманию к деталям. Я была приятно удивлена тем, как заботливо он относится к каждому пациенту, уделяя время для обсуждения всех нюансов и рекомендаций по дальнейшему уходу.

Наталья Галуц

Доброго дня! Хочу выразить огромную благодарность хирургу-имплантологу Скобникову Сергею Владимировичу и ортопеду Николаене Александру Николаевичу за их труд, поистине волшебники, профессионалы своего дела! Они подарили мне счастье полноценно жить и улыбаться в моем. довольно-таки сложном случае. Моему счастью просто нет предела! Спасибо так же девочкам на ресепшене за вежливое и участливое отношение!

Сергей Мышкин

Очень понравилось в данной стоматологии. Был на приеме у ортопеда Толкачевой А.Д. Очень внимательная доктор. Установили несколько циркониевых коронок. Всем доволен. Персонал приятный, отзывчивый. Рекомендую к посещению!

Наталья Лалова

Хорошая клиника, качество услуг удовлетворило. Приветливый персонал, грамотный врач. Не навязывают лишних услуг, что особенно приятно. Рекомендую

Julia Astashonok

Делала чистку и лечила зуб у Пренз Юлии Викторовны! По комфорту и аккуратности - это лучшее лечение и чистка, которые я посещала. Абсолютно небольно и качественно. И девочки на ресепшене очень милые и приветливые.

Регина

Впервые столкнулась с тем, что в стоматологии может быть настолько теплая атмосфера. Была приятно удивлена тем, что каждый сотрудник(и администраторы, и медсестры, и врачи) отнеслись очень тепло и заботливо! Я очень рекомендую стоматологию «Дентополис»!

Antali Ka

Замечательная стоматология, профессиональные врачи! Давно искала специалиста, чтобы поставить импланты и выбирала клинику. Посоветовали обратиться в "Дентополис" к врачам хирургу Крату Максиму Игоревичу и ортопеду Никоалене Александру Николаевичу. Врачи работают в тандеме. Очень понравилось отношение. Постоянно спрашивали: как, какие ощущения, все ли со мной хорошо. Такая забота очень приятна. Импланты стоят отлично, коронки носятся хорошо. Если кто-то как и я была в поисках своих врачей - советую сходить на консультацию.

Мария Досько

Очень приятная и комфортная стоматология. Сразу чувствуется профессионализм, и что ты попала в надёжные руки. Теперь буду ходить только сюда)

Олег Колосов

Замечательная стоматология! Обратился с установкой коронок. Многие зубы уже были мертвые и начинали разрушаться. Циркониевые коронки поставил Николаеня Александр Николаевич. Отличный врач, очень внимательный. Все доводил до идеала. Поэтому ни разу не пожалел, что обратился именно в Дентополис. Смело могу советовать. Спасибо за профессионализм!

Ирина Мацкевич

Спустя полгода могу оставить отзыв на данную стоматологию. Делала имплантацию и протезирование. Все прошло очень хорошо. И сейчас спустя время могу сказать, что никаких вопросов к имплантам, протезам нет. За это я очень переживала. Все носится хорошо, не жмет, не давит. Даже не чувствуется что во рту не мои зубы. Поэтому огромная благодарность врачам данной клиники. Было приятно приходить в стоматологию, видя отношение. Еще приятнее получить такой результат. Спасибо!

Дмитрий Курьян

Два года назад ставил в Дентополисе имплант. Встал он с приличным наклоном, и ортопед смог поставить коронку нормально только с третьей попытки. Все попытки были за счет клиники, я платил за результат. С тех пор поставил в Дентополисе 6 коронок и накладок. Мой врач - Николаеня Александр Николаевич. Хороший специалист и хороший человек. Умный, тактичный, доброжелательный. Считаю, что мне повезло иметь такого врача. Рекомендую. Как и клинику в целом. Всегда можно запарковаться во дворе у дома напротив. Собственный 3Д рентген. Владелец, который всегда на работе, и который стремится сделать свою клинику лучше. К сожалению, у нас нет семейных врачей, а мне эта система кажется правильной. Дентополис производит впечатление семейной клиники. Мне приятно сюда ходить. Думаю, будет приятно и вам.

Natali Zharkina

Высокий профессионализм, чуткость и внимательность к пациентам!!! Комфортная атмосфера, 100% доверие ортопеду, терапевту, хирургу, медсестрам и администраторам. Некоторые элементы лечения и оснащения были для меня как "космос". Очень интеллигентный и деликатный персонал. Благодарю всех, кто меня лечил и улучшил качество моей улыбки! Рекомендую!!!

Александра Медведкова

К врачу стоматологу-ортопеду Трепышко Игорю Викторовичу я попала по рекомендации его коллеги в тот момент, когда мое лечение зашло в тупик... и не пожалела! Осталась очень довольна результатом работы Игоря Викторовича! Профессиональный подход, чуткость и внимательность к пациенту и просто человеческое обаяние доставили приятные минуты общения и лечения. Обязательно буду рекомендовать! Желаю здоровья и профессионального роста!!!

Евгения Трифонова

Я, Трифонова Евгения от своего имени и от имени моего мужа хотим выразить свою благодарность и глубокое уважение за работу Николаене Александру Николаевичу и хирургу Максиму Игоревичу за их доброжелательность и внимание к каждому вздоху пациента, за их (похоже) любовь к своей профессии. 6 имплантов в почтенном возрасте пациентки это не шутка, это очень серьезная работа и не каждый стоматолог брался за неё. Всё проверяется временем и за период с апреля сего года всё прошло очень даже неплохо. В целом от центра только самое хорошее впечатление. Администраторы приветливы и внимательны. Рентген делается моментально и качественно. Всем рекомендую обращаться именно к этим докторам. Они классные

Наталья

Хочется выразить благодарность Пренз Юлии Викторовне. Была на приеме впервые. Получила максимум внимания, спокойствия!

review
review
review
review
review
review
review
Уручская, 7 (ст. м. «Уручье», Минск)